Rezultate
Acasă/Rezultate

Caz de fațetare a dinților – o modalitate elegantă, estetică și mai ales minim invazivă de schimbare a formei și a dimensiunii dinților.

Crearea spațiului pentru alinierea dinților și pentru corectarea mușcăturii încrucișate.

Bijuterie Dentară | Blink – Swarowski

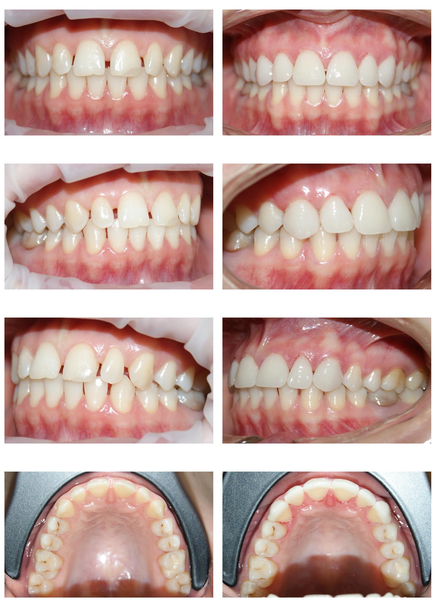
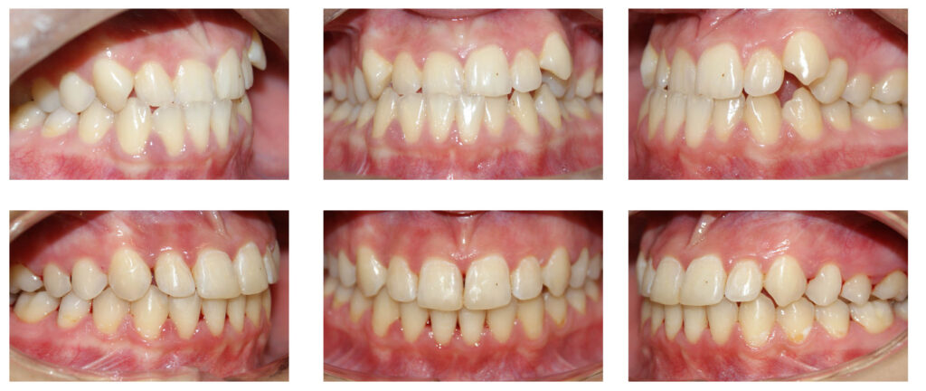
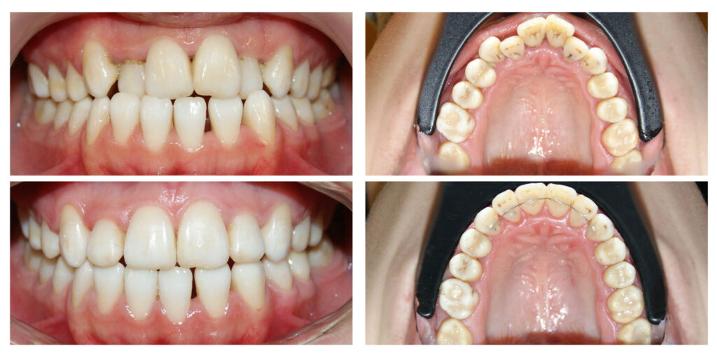
Corectarea angulațiilor dentare și a mușcăturii

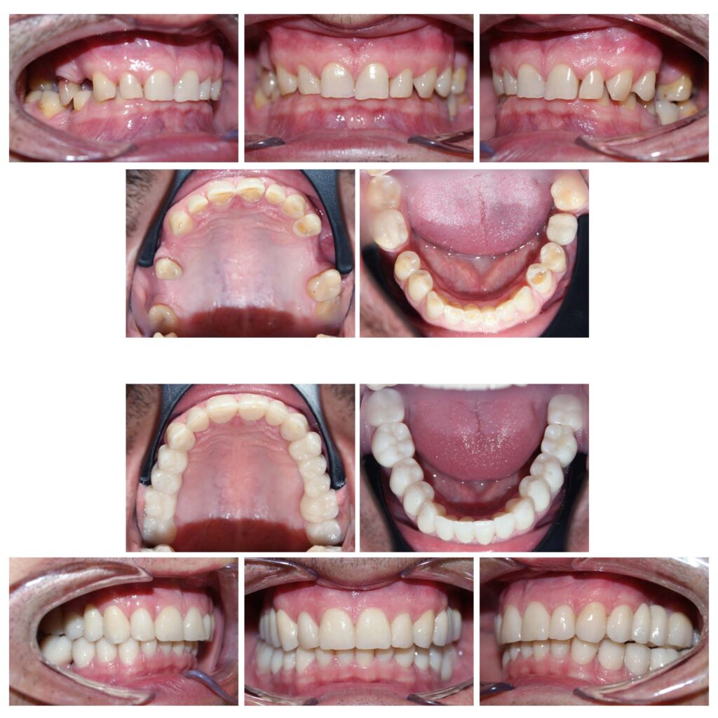
Un caz de o dificultate estestică majoră pe care l-am rezolvat cu succes împreună cu tehnicienii noștri. Am reușit să salvăm toți dinții deși erau destul de mult afectați și ulterior să îi îmbracăm cu coroane solo. Cromatica coronițelor este atât de potrivită încât în final nu se diferențiază de dinții naturali printre care sunt intercalate

Zirconiu stratificat

Ocluzie încrucișată | Ancoraj pe mini implante | Brackets | Simetrizarea conturului zâmbetului

Brackets – Teeth Detailing

Înlocuire coroană metalo-ceramică cu o coroană de Zirconiu stratificat

Lucrare protetică din Zirconiu stratificat- integrare estetică- praguri minim invazive pe dinți tineri, vitali – gingii sănătoase

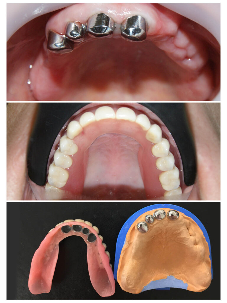
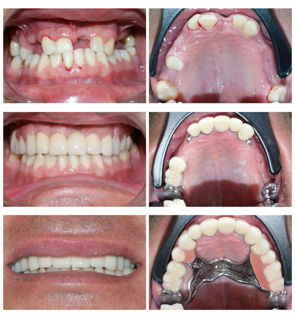
Lucrare fixată pe dinți împreună cu proteză scheletată mobilizabilă = soluția de lux pentru dinți puțini


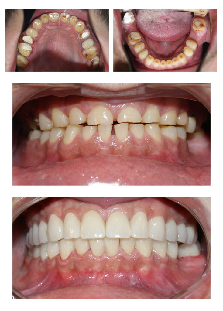
Reabilitare complexă și completă a dinților cu un accent grav de uzură, a dimensiunii verticale de ocluzie și a zâmbetului = restabilirea tuturor funcțiilor naturale

Aparat dentar fix din Safir

Tehnician – Happy 3Dent

Extruzia ortodontică a dinților cu distrucție subgingivală accentuată salvează unii dinți de la extracție…pentru că dintele natural este cel mai bun implant. Săgețile evidențiază cât de multă extruzie am reușit să obținem în câteva luni.

Un vis devenit realitate

Câtă încredere poate radia un zâmbet corect


Îndreptarea axelor dentare are un efect semnificativ atât asupra dinților cât și asupra țesuturilor de susținere

Tehnician – Happy 3Dent

Pentru că încrederea se câștigă în timp și se cântărește în rezultate!

#brackets

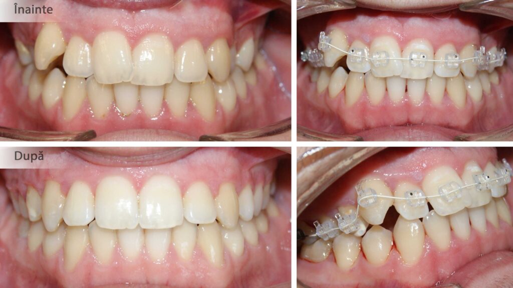
Pentru că detaliile fac diferența – a se remarca înălțarea și lărgirea zâmbetului #contenție fixă

Tratamentele dentare corecte oferă durabilitate lucrărilor dentare perfecte Integrare estetică remarcabilă!

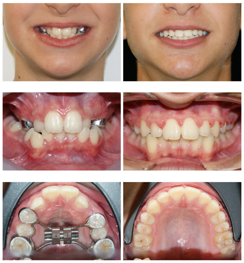
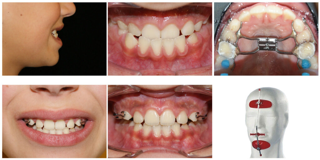
Corectarea muscaturii inverse cu forte extraorale – masca Delaire și disjunctor maxilar. Câteva luni pentru rezultate de care copilul se bucură întreaga viată

Corectarea muscaturii inverse cu forte extraorale – masca Delaire și disjunctor maxilar Alegem aparatul potrivit la vârsta potrivită

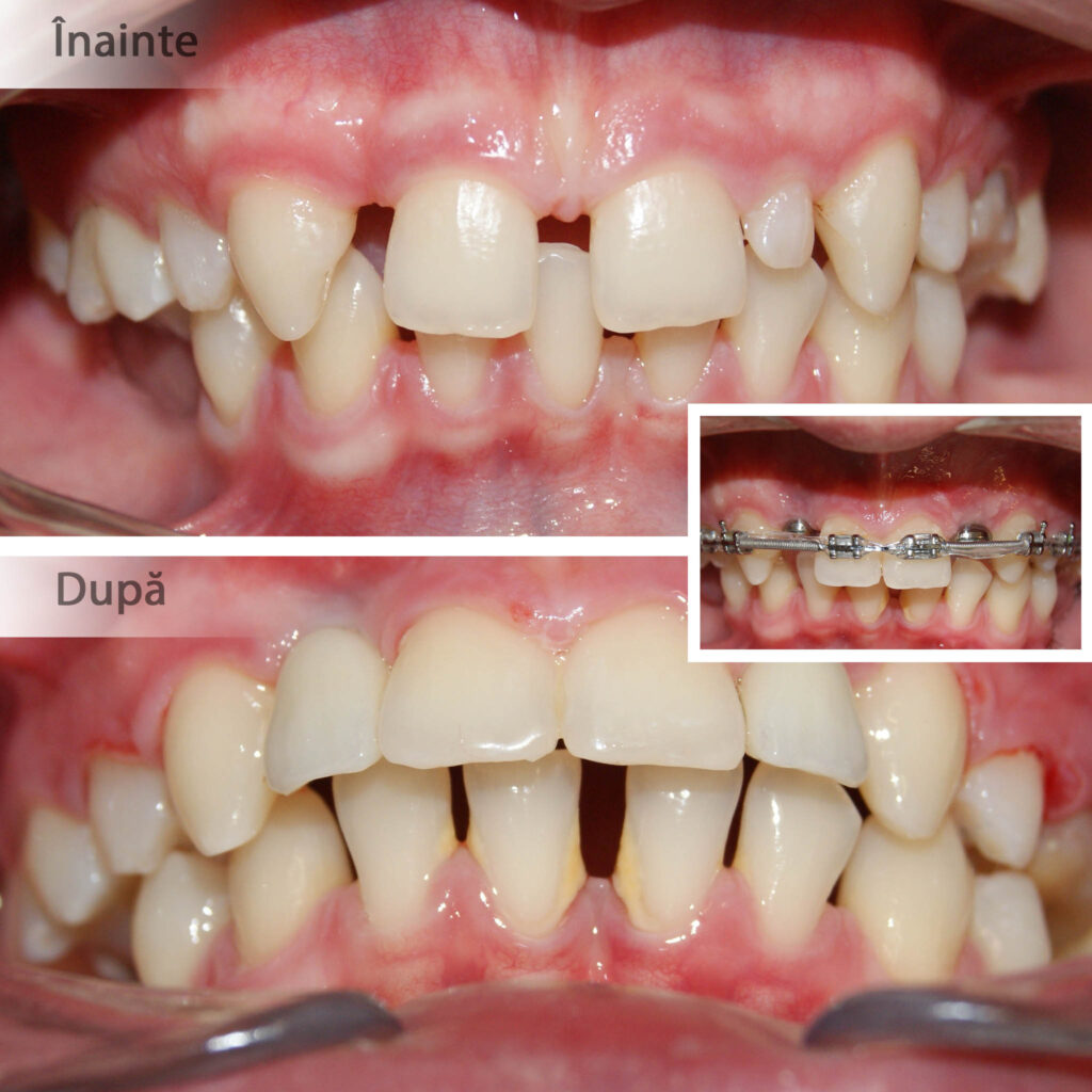
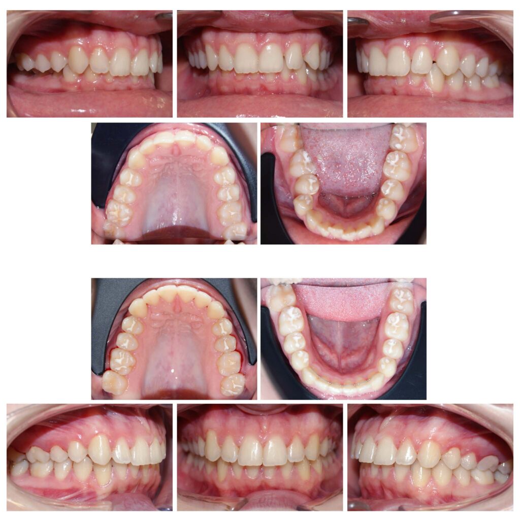
Am folosit într-un mod eficient și elegant spațiul postextracțional pentru a alinia dinții înghesuiți

Găsim cea mai potrivită culoare pentru plombițele de pe dinții frontali

Dinții nanici își găsesc la noi rezolvare estetică și minim invazivă – coroniță cu preparare minimă ghidată

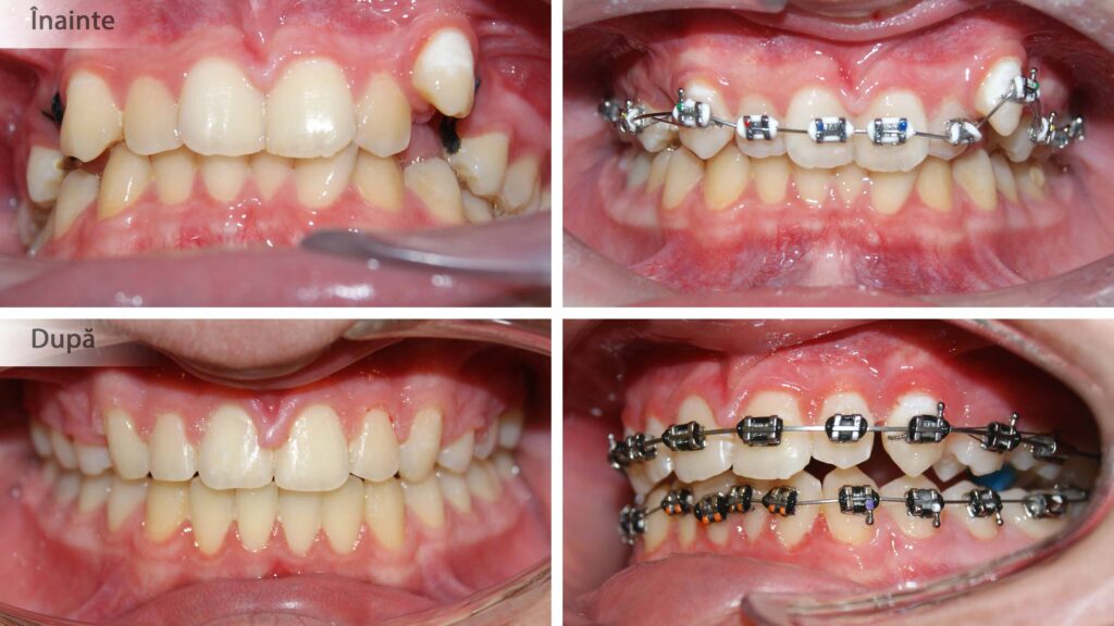
Caz cu extracție de 2 premolari pentru alinierea caninilor

Înlocuirea plombițelor modificate de culoare devine un succes în mâinile noastre

Lucrări protetice din zirconiu cu adaptare perfectă

Aparatele ortodontice se aplică doar pe dinții curățați în prealabil. Cariile și resturile radiculare irecuperabile trebuie asanate după cum se vede aici

Proteza telescopată și proteză scheletată aplicate pe dinții tratați corect! Execuția riguroasă oferă stabilitate excelentă.


Vechile obturații de amalgam pot fi înlocuite cu succes

Întrebare “Ce se întâmplă dacă îmi vor fi extrași dinți buni? “Răspuns “Spațiile vor fi închise complet! “ DA, DA, DA! Adesea trebuie să facem extracții în scop ortodontic pentru a crea spațiul necesar alinierii dinților care rămân pe arcadă. În aproximativ 2 ani de tratament ortodontic dinții migrează și închid spațiile astfel încât vei uita că acolo au mai fost vreodată alți dinți

Adesea boala parodontală determină migrarea neplăcută a dinților. După încetinirea activității bacteriene dinții migrați pot fi readuși în poziție corectă

#anodonție #dinte nanic #aparat ortodontic #implante dentare

Proteza telescopată – stabilitate perfectă

Corectare angrenaj invers

Persistența dinților de lapte peste timpul lor normal de exfoliere determină înghesuirea dinților definitivi. Aparatele dentare fixe sunt instrumentele perfecte pentru alinierea armonioasă a dinților

Pozițiile copiilor în somn (cu pumnul sub obraz) timp îndelungat poate determina dezvoltarea asimetrică a oaselor maxilare. Așa cum se vede în poze, cu ajutorul aparatelor ortodontice fixe am îndreptat axele dentare

În cazul de față ortodonția ne-a ajutat să oferim lărgime semnificativă zâmbetului și să prevenim retracțiile gingivale de pe caninii inferiori prin distalizare.

Redeschiderea spațiilor pentru caninii definitivi (a se observa că pe o parte spațiul era închis complet)

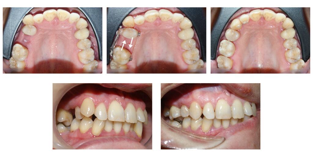
Recâștigarea spațiilor pierdute pentru dinții numerotați cu 2 si 11. Dacă nu am fi pus aparatul ortodontic fix dinții ar fi rămas blocați în intriorul osului, cu consecințe dramatice

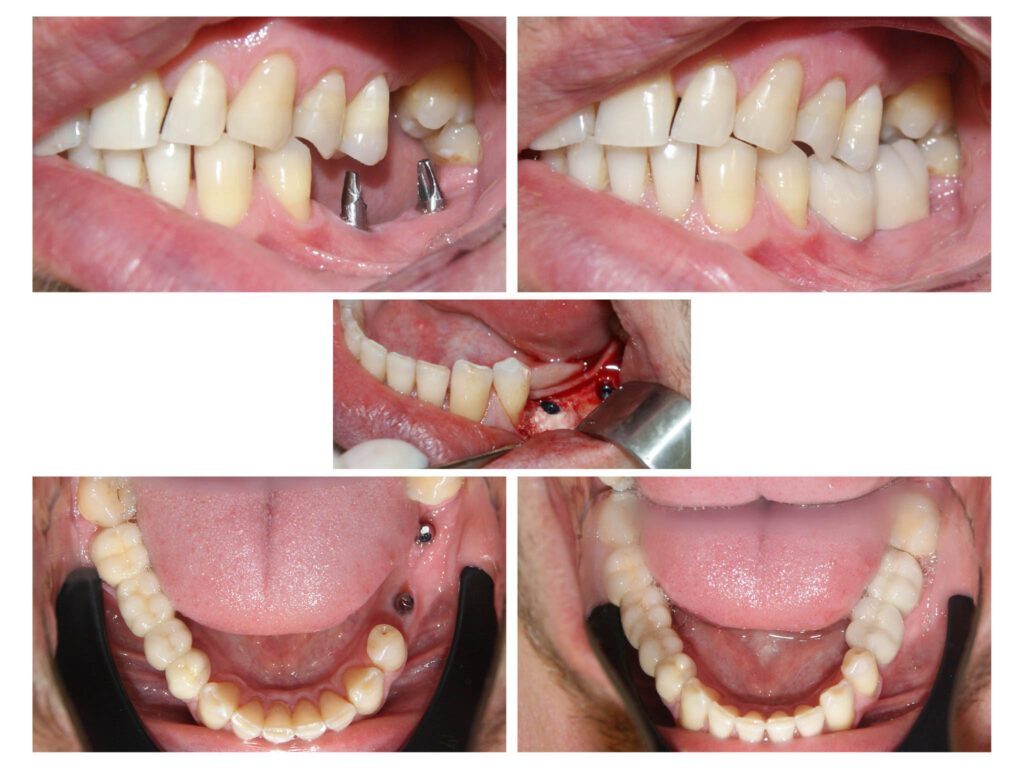
Aplicare implante dentare cu usoara adiție de os artificial si protezarea lor

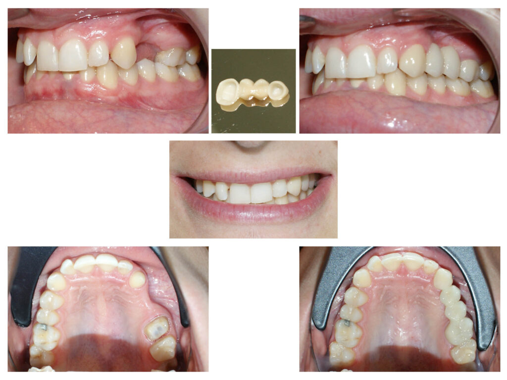
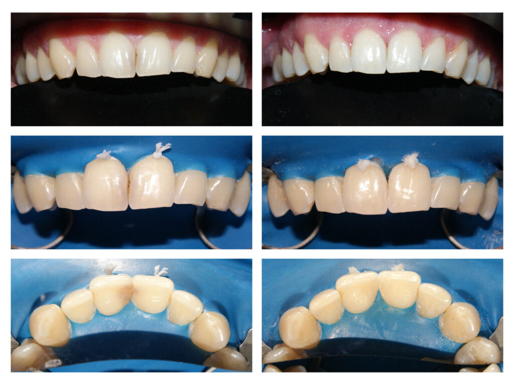
Coroniță zirconiu pe incisivul central cu integrarea estetică

Reabilitare orală complexă cu redimensionarea dinților cu grad accentuat de uzură. A fost necesară o soluție de provizorat de 6 luni de zile în care am verificat dacă pacientul se poate adapta cu înălțarea ocluzală propusă de noi. Am realizat tratamente de canal și reconstituiri atât pentru înălțarea dinților, cât și pentru tratarea proceselor infecțioase active. Rezultatele sunt remarcabile atât din punct de vedere funcțional cât și estetic

De 3 ori BLINK Swarowski

Protezarea fixă a incisivului central superior cu lucrarea din zirconiu stratificat

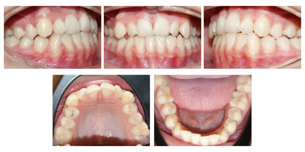
Corectarea ortodontică a angrenajului invers, un zâmbet de mult visat!
